Türkiye'de her yıl 41 bin kişi bu hastalığa yakalanıyor...
Türkiye'de her yıl 41 bin kişi bu hastalığa yakalanıyor...
Dünyada her yıl 2 milyondan fazla ülkemizde de yaklaşık 41 bin kişiye akciğer kanseri tanısı konuluyor.
Haber Giriş Tarihi: 07.11.2025 12:10
Haber Güncellenme Tarihi: 07.11.2025 12:14
Kaynak:
Faselis
Erkeklerde en sık görülen kanser türü olan akciğer kanseri kadınlarda da meme ve kolorektal kanserlerinden sonra 3. sıklıkta görülüyor. Kansere bağlı ölümlerde ilk sırada yer alan akciğer kanserinin en önemli nedeni olarak sigara gösteriliyor. Öyle ki akciğer kanserinin yüzde 85'inin sigara kullanımı nedeniyle geliştiği belirtiliyor. Acıbadem Altunizade Hastanesi Tıbbi Onkoloji Uzmanı Prof. Dr. Faysal Dane, akciğer kanserinden korunmanın veya riski azaltmanın en etkili yolunun sigara ile tütün ürünlerinin bırakılması ve mümkün olduğunca pasif içicilikten kaçınılması olduğuna dikkat çekerek, “Sigara ve tütün ürünlerinin bırakılmasıyla akciğer kanseri önlenebilmektedir. Ayrıca çevresel risk faktörlerini kontrol etmek ve sağlıklı bir yaşam sürdürmek riskin azaltılmasında büyük bir önem taşımaktadır” diyor. Akciğer kanserinin genellikle erken dönemlerinde belirti vermemesi ve en tipik sinyali olan öksürüğün sigara kullanımına bağlanması nedeniyle sıklıkla ileri evrede teşhis edildiğine vurgu yapan Tıbbi Onkoloji Uzmanı Prof. Dr. Faysal Dane, “Tanının gecikmesi de tedaviden etkin sonuç alınamamasına ve bunun sonucunda hastanın yaşamını yitirmesine neden olabilmektedir. Her kanserde olduğu gibi akciğer kanseri de ne kadar erken teşhis edilirse tam şifa şansı o kadar yükselmektedir. Bazen tarama yöntemleriyle tespit edilen çok erken evre akciğer kanserinde hastalarda sadece ameliyat ile şifa sağlanabilmektedir” diyor.
Risk grubundaki 50 yaş ve üzeri kişilere tarama önerisi
Tıbbi Onkoloji Uzmanı Prof. Dr. Faysal Dane, akciğer kanserine aslında tarama yöntemleriyle erken dönemde tanı konulabildiğini belirterek, “Erken evrede teşhis edilebilmesi için yüksek riskli olarak belirlenmiş; yoğun sigara içen veya geçmişte içmiş olan 50 yaş ve üzeri kişilere her yıl düşük radyasyon dozlu bilgisayarlı akciğer tomografi çekimi yapılması önerilmektedir. Bu sayede henüz belirti vermemiş erken evre akciğer kanserinin yakalanması mümkün olabilmektedir” bilgisini veriyor.
Kadınlarda akciğer kanseri artıyor, çünkü…
Akciğer kanseri, akciğer dokusundaki hücrelerin genetik olarak bazı değişimlere uğradıktan sonra kontrolsüz çoğalması sonucunda oluşan bir kanser türü. Genel olarak erkeklerde kadınlara oranla yaklaşık 3 ila 3,5 kat daha sık görülüyor. Erkeklerin sigara ve tütün kullanımının kadınlardan çok daha yaygın olmasının bunun başlıca nedeni olduğu düşünülüyor. Ancak, günümüzde kadınlarda sigara kullanımının artmasıyla birlikte akciğer kanseri oranları kadınlarda da yükseliyor ve iki cinsiyet arasındaki fark giderek azalıyor.
Bu kanserin yüzde 85’inden sigara sorumlu!
Akciğer kanserinin en önemli nedeni olarak sigara kullanımı gösteriliyor. Öyle ki akciğer kanserinin yaklaşık yüzde 85'inin sigarayla ilişkili olduğu belirtiliyor. Sigara dumanında bulunan çok sayıda kimyasal maddenin bir kısmı kanserojen özellik taşıyor. Bu kanserojen maddeler akciğer dokusunda hücrelerin genetik yapısını bozarak akciğer kanserine yol açabiliyor. Tıbbi Onkoloji Uzmanı Prof. Dr. Faysal Dane,sigaranın bırakılması sonrasında akciğer kanseri riskinin azalması için üzerinden uzun bir süre geçmesi gerektiğini anlatarak, “Ayrıca, uzun dönem yoğun sigara içen kişilerde sigaranın bırakılması riski azaltsa da bu risk hiçbir zaman içmeyenler seviyesine düşmez; çünkü akciğerlerde bir miktar hasar mutlaka oluşmuştur. Bu nedenle, sigaraya hiç başlamamak en doğrusudur” diyor. Prof. Dr. Faysal Dane, sigaranın yanı sıra hava kirliliği, radon gazı veya asbest maruziyeti, genetik faktörler, pasif içicilik ve ev içi duman maruziyetinin de risk faktörleri arasında yer aldığını söylüyor.
Genellikle tesadüfen teşhis ediliyor
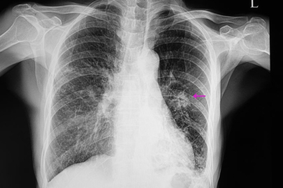
Akciğer kanseri şikayete yol açtığında sıklıkla ileri evrede oluyor. Geç teşhis edilmesinin nedeni ise kanserin çoğunlukla uzun süre belirti vermemesi veya öksürük gibi yakınmaların sigaraya bağlanarak önemsenmemesi. Ayrıca yoğun sigara kullanan hastalarda tarama yöntemlerinin olmaması da geç teşhisin bir diğer sebebini oluşturuyor. Erken evrede çoğunlukla belirti vermemesi nedeniyle bu dönemde ancak rastlantısal çekilen bir görüntüleme yöntemi sonrasında fark ediliyor. İleri evrelerde ise uzun süreli öksürük, kan tükürme, nefes darlığı, boyunda şişme, göğüs bölgesinde ağrı, hırıltı veya ses kısıklığı gibi belirtilerle kendini belli ediyor. Tıbbi Onkoloji Uzmanı Prof. Dr. Faysal Dane, bu tür belirtilerin mutlaka akciğer kanseri yönünden tetkik edilmesi gerektiğine işaret ederek, “Akciğer grafisi bazı büyük kitleleri veya sıvı toplanmasını gösterebilmektedir. Şüphe olan hastalarda düşük doz bigisayarlı tomografi çekilmesi en uygun olan yöntemdir. Asıl teşhis ise görülen kitleden biyopsi yapılarak alınan numunenin mikroskop altında incelenmesiyle konulmaktadır” diyor.
Tedavide çığır açan gelişmeler yaşanıyor!
Akciğer kanserinin tedavisinde; ameliyat, radyoterapi, kemoterapi, hedefe yönelik ilaçlar ve immünoterapi yöntemlerine başvuruluyor. Tıbbi Onkoloji Uzmanı Prof. Dr. Faysal Dane, kanser tedavisinde çığır açan immünoterapi ve hedefe yönelik ilaçların son yıllarda akciğer kanserinde de uygun hastalarda hem erken evrede hem de ileri evrelerde kullanılmaya başlandığını vurgulayarak, sözlerine şöyle devam ediyor: “Eskiden immünoterapi tedavisi bu hastalıkta daha ileri evrede fayda sağlarken, son birkaç yıldır erken evrede de temel oyunculardan biri haline gelmiştir. Aynı şekilde, eğer hastanın tümörü hedefe yönelik ilaçlar için uygunsa, bu ilaçlara artık hem erken evre hem de ileri evre hastalıkta başvurabilmektedir. Bunların yanı sıra günümüzde hastanın tümöründen alınan bir parçadan kapsamlı gen analizi yapılarak hangi ilacın bu hastanın kanserinde etkili olduğunu tespit etmek mümkün olmaktadır. Tüm bu gelişmeler sayesinde son yıllarda akciğer kanserinde hastaların yaşam sürelerinde ciddi artışlar kaydedilmiştir.”
Sizlere daha iyi hizmet sunabilmek adına sitemizde çerez konumlandırmaktayız. Kişisel verileriniz, KVKK ve GDPR
kapsamında toplanıp işlenir. Sitemizi kullanarak, çerezleri kullanmamızı kabul etmiş olacaksınız.
En son gelişmelerden anında haberdar olmak için 'İZİN VER' butonuna tıklayınız.
Türkiye'de her yıl 41 bin kişi bu hastalığa yakalanıyor...
Dünyada her yıl 2 milyondan fazla ülkemizde de yaklaşık 41 bin kişiye akciğer kanseri tanısı konuluyor.
Erkeklerde en sık görülen kanser türü olan akciğer kanseri kadınlarda da meme ve kolorektal kanserlerinden sonra 3. sıklıkta görülüyor. Kansere bağlı ölümlerde ilk sırada yer alan akciğer kanserinin en önemli nedeni olarak sigara gösteriliyor. Öyle ki akciğer kanserinin yüzde 85'inin sigara kullanımı nedeniyle geliştiği belirtiliyor. Acıbadem Altunizade Hastanesi Tıbbi Onkoloji Uzmanı Prof. Dr. Faysal Dane, akciğer kanserinden korunmanın veya riski azaltmanın en etkili yolunun sigara ile tütün ürünlerinin bırakılması ve mümkün olduğunca pasif içicilikten kaçınılması olduğuna dikkat çekerek, “Sigara ve tütün ürünlerinin bırakılmasıyla akciğer kanseri önlenebilmektedir. Ayrıca çevresel risk faktörlerini kontrol etmek ve sağlıklı bir yaşam sürdürmek riskin azaltılmasında büyük bir önem taşımaktadır” diyor. Akciğer kanserinin genellikle erken dönemlerinde belirti vermemesi ve en tipik sinyali olan öksürüğün sigara kullanımına bağlanması nedeniyle sıklıkla ileri evrede teşhis edildiğine vurgu yapan Tıbbi Onkoloji Uzmanı Prof. Dr. Faysal Dane, “Tanının gecikmesi de tedaviden etkin sonuç alınamamasına ve bunun sonucunda hastanın yaşamını yitirmesine neden olabilmektedir. Her kanserde olduğu gibi akciğer kanseri de ne kadar erken teşhis edilirse tam şifa şansı o kadar yükselmektedir. Bazen tarama yöntemleriyle tespit edilen çok erken evre akciğer kanserinde hastalarda sadece ameliyat ile şifa sağlanabilmektedir” diyor.
Risk grubundaki 50 yaş ve üzeri kişilere tarama önerisi
Tıbbi Onkoloji Uzmanı Prof. Dr. Faysal Dane, akciğer kanserine aslında tarama yöntemleriyle erken dönemde tanı konulabildiğini belirterek, “Erken evrede teşhis edilebilmesi için yüksek riskli olarak belirlenmiş; yoğun sigara içen veya geçmişte içmiş olan 50 yaş ve üzeri kişilere her yıl düşük radyasyon dozlu bilgisayarlı akciğer tomografi çekimi yapılması önerilmektedir. Bu sayede henüz belirti vermemiş erken evre akciğer kanserinin yakalanması mümkün olabilmektedir” bilgisini veriyor.
Kadınlarda akciğer kanseri artıyor, çünkü…
Akciğer kanseri, akciğer dokusundaki hücrelerin genetik olarak bazı değişimlere uğradıktan sonra kontrolsüz çoğalması sonucunda oluşan bir kanser türü. Genel olarak erkeklerde kadınlara oranla yaklaşık 3 ila 3,5 kat daha sık görülüyor. Erkeklerin sigara ve tütün kullanımının kadınlardan çok daha yaygın olmasının bunun başlıca nedeni olduğu düşünülüyor. Ancak, günümüzde kadınlarda sigara kullanımının artmasıyla birlikte akciğer kanseri oranları kadınlarda da yükseliyor ve iki cinsiyet arasındaki fark giderek azalıyor.
Bu kanserin yüzde 85’inden sigara sorumlu!
Akciğer kanserinin en önemli nedeni olarak sigara kullanımı gösteriliyor. Öyle ki akciğer kanserinin yaklaşık yüzde 85'inin sigarayla ilişkili olduğu belirtiliyor. Sigara dumanında bulunan çok sayıda kimyasal maddenin bir kısmı kanserojen özellik taşıyor. Bu kanserojen maddeler akciğer dokusunda hücrelerin genetik yapısını bozarak akciğer kanserine yol açabiliyor. Tıbbi Onkoloji Uzmanı Prof. Dr. Faysal Dane, sigaranın bırakılması sonrasında akciğer kanseri riskinin azalması için üzerinden uzun bir süre geçmesi gerektiğini anlatarak, “Ayrıca, uzun dönem yoğun sigara içen kişilerde sigaranın bırakılması riski azaltsa da bu risk hiçbir zaman içmeyenler seviyesine düşmez; çünkü akciğerlerde bir miktar hasar mutlaka oluşmuştur. Bu nedenle, sigaraya hiç başlamamak en doğrusudur” diyor. Prof. Dr. Faysal Dane, sigaranın yanı sıra hava kirliliği, radon gazı veya asbest maruziyeti, genetik faktörler, pasif içicilik ve ev içi duman maruziyetinin de risk faktörleri arasında yer aldığını söylüyor.
Genellikle tesadüfen teşhis ediliyor
Akciğer kanseri şikayete yol açtığında sıklıkla ileri evrede oluyor. Geç teşhis edilmesinin nedeni ise kanserin çoğunlukla uzun süre belirti vermemesi veya öksürük gibi yakınmaların sigaraya bağlanarak önemsenmemesi. Ayrıca yoğun sigara kullanan hastalarda tarama yöntemlerinin olmaması da geç teşhisin bir diğer sebebini oluşturuyor. Erken evrede çoğunlukla belirti vermemesi nedeniyle bu dönemde ancak rastlantısal çekilen bir görüntüleme yöntemi sonrasında fark ediliyor. İleri evrelerde ise uzun süreli öksürük, kan tükürme, nefes darlığı, boyunda şişme, göğüs bölgesinde ağrı, hırıltı veya ses kısıklığı gibi belirtilerle kendini belli ediyor. Tıbbi Onkoloji Uzmanı Prof. Dr. Faysal Dane, bu tür belirtilerin mutlaka akciğer kanseri yönünden tetkik edilmesi gerektiğine işaret ederek, “Akciğer grafisi bazı büyük kitleleri veya sıvı toplanmasını gösterebilmektedir. Şüphe olan hastalarda düşük doz bigisayarlı tomografi çekilmesi en uygun olan yöntemdir. Asıl teşhis ise görülen kitleden biyopsi yapılarak alınan numunenin mikroskop altında incelenmesiyle konulmaktadır” diyor.
Tedavide çığır açan gelişmeler yaşanıyor!
Akciğer kanserinin tedavisinde; ameliyat, radyoterapi, kemoterapi, hedefe yönelik ilaçlar ve immünoterapi yöntemlerine başvuruluyor. Tıbbi Onkoloji Uzmanı Prof. Dr. Faysal Dane, kanser tedavisinde çığır açan immünoterapi ve hedefe yönelik ilaçların son yıllarda akciğer kanserinde de uygun hastalarda hem erken evrede hem de ileri evrelerde kullanılmaya başlandığını vurgulayarak, sözlerine şöyle devam ediyor: “Eskiden immünoterapi tedavisi bu hastalıkta daha ileri evrede fayda sağlarken, son birkaç yıldır erken evrede de temel oyunculardan biri haline gelmiştir. Aynı şekilde, eğer hastanın tümörü hedefe yönelik ilaçlar için uygunsa, bu ilaçlara artık hem erken evre hem de ileri evre hastalıkta başvurabilmektedir. Bunların yanı sıra günümüzde hastanın tümöründen alınan bir parçadan kapsamlı gen analizi yapılarak hangi ilacın bu hastanın kanserinde etkili olduğunu tespit etmek mümkün olmaktadır. Tüm bu gelişmeler sayesinde son yıllarda akciğer kanserinde hastaların yaşam sürelerinde ciddi artışlar kaydedilmiştir.”
Kaynak: Faselis
Uzmandan Uyarı: "Sanal Alem Çocuklara Paralel Toplum Kuruyor"
Saldırganın babasının geniş ifadesi ortaya çıktı
Geleceğin Demir Yolcularına Simülasyonlu Eğitim
Baba Güran: ’’Narin’in vebali bu toplumun üstündedir’’
Narin cinayetinde yeniden yargılanan Nevzat Bahtiyar’a 17 yıl hapis cezası (3)
Okan Buruk'tan İddialı Mesaj: "Sorumlusu Benim"
ÇOK OKUNAN