
Denizli Tekden Hastanesi’nde görev yaptığı dönemde başarılı çalışmalara imza atan ve kariyerine ABD’de devam eden Radyoloji Uzmanı Dr. Nevzat Karabulut, tıp dünyasında çığır açan bir başarıya imza attı. Dr. Karabulut ve ekibi tarafından geliştirilen, akciğer embolisi ve bacak pıhtılarını aynı anda radyasyonsuz görüntüleyen yöntem, dünya çapındaki prestijli bilimsel dergilerde en güvenilir metotlar arasında gösterilmeye başlandı. Özellikle hamileler ve gençler için hayati önem taşıyan bu yöntem, radyasyon riskini tamamen ortadan kaldırıyor.
HER ÜÇ HASTADAN BİRİNDEKİ "BELİRSİZLİK" SONA ERİYOR
2025 yılında yayımlanan ve 2 bin 611 hastayı kapsayan dev bir uluslararası meta-analizde, Dr. Karabulut’un çalışması en güçlü referanslardan biri oldu. Araştırma sonuçlarına göre; geleneksel nükleer tıp yöntemlerinde her üç hastadan birinde (%34,7) net sonuç alınamazken, Dr. Karabulut’un öncülük ettiği MR yönteminde bu hata payı %3,31’e kadar düştü. Bu veriler, MR tekniklerinin pıhtı teşhisinde çok daha net ve yorumlanabilir sonuçlar verdiğini bilimsel olarak kanıtladı.
GEBELER VE GENÇLER İÇİN GÜVENLİ LİMAN
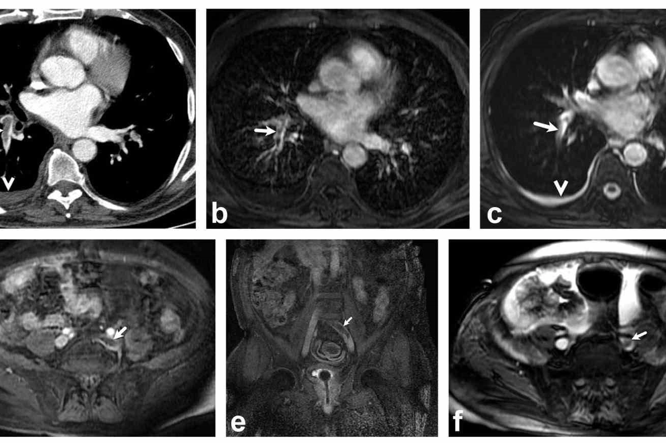
Hayati tehlike oluşturan akciğer embolisinin teşhisinde genellikle radyasyon içeren Bilgisayarlı Tomografi (BT) kullanılıyor. Dr. Nevzat Karabulut, geliştirdikleri yöntemin önemini şu sözlerle anlattı: "BT anjiyografi özellikle hamileler, genç hastalar ve alerjisi olanlar için risk barındırabiliyor. Ekibimle yaptığımız bu çalışma, hem akciğer damarlarını hem de pıhtının kaynağı olan bacak damarlarını radyasyona maruz bırakmadan tek seferde inceliyor. Çalışmamızın uluslararası büyük araştırmalarda kaynak gösterilmesi, Türk tıbbının başarısını ortaya koymaktadır."
STR 2026 TOPLANTISINDA TÜRK İMZASI
Porto Riko’da gerçekleştirilen Amerikan Toraks Görüntüleme Derneği'nin (STR 2026) prestijli toplantısında da Dr. Karabulut ve ekibinin çalışmaları gündeme oturdu. Toplantıda, Karabulut’un geliştirdiği tekniklerin akciğer hastalıklarının tanısında "öncü" rol oynadığı özellikle vurgulandı. Türk bilim insanlarının dünya tıbbına sunduğu bu katkı, radyasyon içermeyen teşhis yöntemlerinde yeni bir kilometre taşı olarak kabul ediliyor.
Editör Notu
Dr. Nevzat Karabulut’un Denizli’den başlayıp ABD ve Porto Riko’ya uzanan bu bilimsel serüveni, azmin ve vizyonun bir sonucudur. Tıpta teşhis koyarken "önce zarar verme" ilkesi esastır; radyasyonsuz bir teşhis yöntemi geliştirmek bu ilkeye yapılabilecek en büyük hizmettir. Bir Türk hekiminin çalışmasının 2 bin kişilik dev analizlerde en güvenilir yöntem olarak işaret edilmesi, sadece Denizli için değil, tüm Türkiye için büyük bir gurur vesilesidir. Bilimin ışığı, hastalarımız için artık daha güvenli yanıyor.
Sağlık alanındaki bu radyasyonsuz devrim hakkında ne düşünüyorsunuz? Modern tıpta yerli bilim insanlarının başarılarını takip etmek sizi de heyecanlandırıyor mu? Yorumlarınızı bekliyoruz.