Midelerinde uyuşturucu ile yakalanan yabancı uyruklu 3 şüpheli tutuklandı
Midelerinde uyuşturucu ile yakalanan yabancı uyruklu 3 şüpheli tutuklandı
Haber Giriş Tarihi: 01.09.2025 08:20
Haber Güncellenme Tarihi: 01.09.2025 08:20
Kaynak:
Haber Merkezi
https://www.haberxr.com/
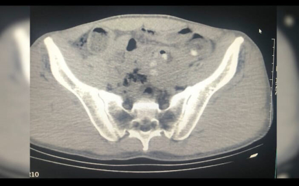
Özcan ÇİRİŞ/BİTLİS, - BİTLİS'in Tatvan ilçesinde, yol kontrolünde durdurulan otobüsteki yabancı uyruklu 3 yolcunun sırt çantalarından ve midelerinden toplam 1 kilo 120 gram metamfetamin çıktı. Gözaltına alınan şüpheliler, tutuklandı.
İl Emniyet Müdürlüğü Narkotik Suçlarla Mücadele Şubesi ekipleri, Tatvan ilçesindeki uygulama noktasında yol kontrolü sırasında bir yolcu otobüsünü durdurup, arama yaptı. Ekipler, şüpheli hareketleriyle dikkat çeken yabancı uyruklu 3 kişinin sırt çantalarında yaptığı aramada 109 parça halinde metamfetamin ele geçirildi. Gözaltına alınıp hastaneye götürülün şüphelilerin çekilen röntgenlerinde de midelerinde 45 kapsül metamfetamin tespit edildi. Şüphelilerin midesindeki uyuşturucu doğal yollarla çıkarıldı.
Toplam 1 kilo 520 gram metamfetamin ile yakalanan şüpheliler, Emniyet Müdürlüğü'ndeki işlemlerinin ardından sevk edildikleri adliyede çıkarıldıkları mahkemede tutuklanarak cezaevine gönderildi.
Yorum Ekle
Yorumlar (0)
Sizlere daha iyi hizmet sunabilmek adına sitemizde çerez konumlandırmaktayız. Kişisel verileriniz, KVKK ve GDPR
kapsamında toplanıp işlenir. Sitemizi kullanarak, çerezleri kullanmamızı kabul etmiş olacaksınız.
En son gelişmelerden anında haberdar olmak için 'İZİN VER' butonuna tıklayınız.
Midelerinde uyuşturucu ile yakalanan yabancı uyruklu 3 şüpheli tutuklandı
Özcan ÇİRİŞ/BİTLİS, - BİTLİS'in Tatvan ilçesinde, yol kontrolünde durdurulan otobüsteki yabancı uyruklu 3 yolcunun sırt çantalarından ve midelerinden toplam 1 kilo 120 gram metamfetamin çıktı. Gözaltına alınan şüpheliler, tutuklandı.
İl Emniyet Müdürlüğü Narkotik Suçlarla Mücadele Şubesi ekipleri, Tatvan ilçesindeki uygulama noktasında yol kontrolü sırasında bir yolcu otobüsünü durdurup, arama yaptı. Ekipler, şüpheli hareketleriyle dikkat çeken yabancı uyruklu 3 kişinin sırt çantalarında yaptığı aramada 109 parça halinde metamfetamin ele geçirildi. Gözaltına alınıp hastaneye götürülün şüphelilerin çekilen röntgenlerinde de midelerinde 45 kapsül metamfetamin tespit edildi. Şüphelilerin midesindeki uyuşturucu doğal yollarla çıkarıldı.
Toplam 1 kilo 520 gram metamfetamin ile yakalanan şüpheliler, Emniyet Müdürlüğü'ndeki işlemlerinin ardından sevk edildikleri adliyede çıkarıldıkları mahkemede tutuklanarak cezaevine gönderildi.